Accessibility Tools

Specialties

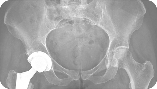
Over

10,000
Hip Procedures

Over

6,000
Direct Anterior Total
Hip Replacments

Less than a

0.1%
Infection or
Dislocation Risk

Less than

0.1%
Risk of Complication

Over

2,000
Outpatient Direct Anterior
Hip Replacements
About Dr. Davidovitch
Meet Roy I. Davidovitch, MD
Dr. Davidovitch Specializes in Hip Surgery
  • Professor of Orthopedic Surgery, NYU Grossman School of Medicine.
  • Specialist in Hip Reconstruction and Preservation.
  • Director of Outpatient Joint Replacement Program and the NYU Hip Center @NYU Langone Orthopedic Hospital.
  • The Inaugural Julia Koch Associate Professor of Orthopedic Surgery at NYU Langone Orthopedic Hospital.
  • Elected to the prestigious American Hip Society.
  • Specializing in hip dysplasia, labrum tears.
  • Over

    Hip Procedures Performed

    Hip Procedures

  • Over

    Direct Anterior Total Hip Replacments

    Direct Anterior Total
    Hip Replacments

  • Less than a

    Infection or Dislocation Risk

    Infection or
    Dislocation Risk

  • Less than

    90 Day Readmission Rate

    Risk of Complication

  • Over

    Outpatient Total Hip Replacements

    Outpatient Direct Anterior
    Hip Replacements

Explore ourSpecialties

New TechnologyRobotic Assisted
Joint Replacement

Robotic-assisted joint replacement enhances precision, improves implant positioning, and optimizes patient outcomes. This advanced technology leads to faster recovery, reduced pain, and increased longevity of the artificial joint.

Personalized SolutionsMako Robotic Total
Hip Replacement

Mako SmartRobotics™ is an innovative solution for many suffering from painful arthritis of the hip. Mako uses 3D CT-based planning software so your surgeon can know more about your anatomy to create a personalized joint replacement surgical plan.

Advanced Solutions for Orthopaedic Conditions Tailored to your Unique Needs

Star

TestimonialsOur Patient Reviews

  • Excellent surgeon, excellent results. Both he and his staff were thoroughly responsive and accommodating.

    Poor
    Fair
    Good
    Very Good
    Excellent

    ~ V P ~

  • I cannot highly recommend Dr. Davidovitch enough. Seven days ago he performed an Anterior Total Hip Replacement on me. Within 24 hours I was essentially free of pain, walking with assistance and on my way to healing. Now I am fully able to take care of myself if necessary. Dr. Davidovitch and his st...

    Poor
    Fair
    Good
    Very Good
    Excellent

    ~ V P ~

  • Excellent experience throughout the whole process, both pre and post op. The procedure was seamless and discharged home that day. Minimal discomfort- and needed only Tylenol for analgesia.

    Poor
    Fair
    Good
    Very Good
    Excellent

    ~ V P ~

  • Hip replacement surgery. Up walking & sent home the same day. 100% pain free within 3 wks of surgery. Miraculous! Office staff polite, kind & thorough. Pre-op consults/exams professionally done. Recommended 100%.

    Poor
    Fair
    Good
    Very Good
    Excellent

    ~ V P ~

  • My hip replacement surgery was seamless. Dr. Davidovitch set reasonable expections. His team communicated EXTREMELY well and my recovery was incredibly quick. I was unable to walk when I saw Dr. Davidovitch and within days after my surgery I was walking unassisted.

    Poor
    Fair
    Good
    Very Good
    Excellent

    ~ V P ~

Patients away from New York CityOut of Town Patients

Exceptional Care. Effortless Experience. Personalized Support.

For patients traveling from out of state or internationally, our Same-Day Orthopedic Surgery Care Package offers a seamless, stress-free experience. From diagnosis to recovery, we ensure you receive expert care in a comfortable and convenient setting — all in one streamlined visit.

Dr. Davidovitch FeaturedIn The Media

  • Media Img

    Same-Day Hip Replacement

    The Wall street Journal
  • Media

    Same-Day Hip Replacements Get Patients
    Back on their Feet

    CBS News Interview
  • Media

    An Algorithmic Approach to Diagnosing
    Hip Pain in a Young Adult

  • Media

    CBS News Interview

ArticlesBlog & Latest News

  • 08Jan 2021

    Madonna's a hip op hero in scar selfie
  • 08Jan 2021

    LI's Christie Brinkley reveals she had hip replacement surgery
  • 08Jan 2021

    Christie Brinkley has new lease on life after undergoing hip replacement surgery 26 years after helicopter crash in Colorado:'New year, new hip'
  • 25May 2017

    Same-day hip replacements get patients back on their feet
  • 24May 2017

    A Night at the Museum